Parkinson: Visuelles System verändert sich früh
Forscher finden mögliche Biomarker zur rechtzeitigen Entdeckung
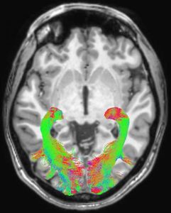
![]() |
Gehirn-Scan: Strukturen verändern sich frühzeitig (Foto: rsna.org) |
Mailand (pte015/11.07.2017/10:30) Veränderungen des visuellen Systems bei neu diagnostizierten Parkinson-Patienten liefern wichtige Biomarker für eine frühe Entdeckung und Überwachung der Krankheit. Zu diesem Ergebnis kommen Forscher der Universita Vita-Salute San Raffaele http://www.unisr.it . Laut Forschungsleiter Alessandro Arrigo ist das Auge ein Fenster in den Körper und das visuelle System ein Fenster in Erkrankungen des Gehirns.
Symptome oft nicht erkannt
Parkinson wird laut dem Experten zwar vorrangig als motorische Erkrankung angesehen, dennoch hätten mehrere Studien nachgewiesen, dass auch andere Symptome in allen Stadien vorhanden seien. "Diese Symptome werden häufig nicht diagnostiziert, da den Patienten ein Zusammenhang nicht bewusst ist. Als Folge könnten sie unterbehandelt sein."
Zu den nicht-motorischen Symptomen bei Parkinson gehören visuelle Veränderungen wie die Unfähigkeit, Farben wahrzunehmen, eine Veränderung der Sehschärfe und eine Abnahme des Blinzelns, die zu trockenen Augen führen kann. Arrigo zufolge können diese nicht-motorischen Symptome mehr als ein Jahrzehnt vor den anderen Symptomen auftreten.
Weitere Studien erforderlich
20 neu diagnostizierte und noch nicht behandelte Patienten nahmen an der Studie teil - elf Männer und neun Frauen. Die gesunde Kontrollgruppe war gleich groß. Ein MRT wurde bei allen Teilnehmern durchgeführt. Bei den Patienten fand sie innerhalb von vier Wochen nach der Diagnose statt. Die Forscher verwendeten dabei eine diffusionsgewichtete Bildgebung, um Veränderungen der weißen Substanz und die voxel-basierte Morphometrie, um Konzentrationsveränderungen der grauen und weißen Substanz zu untersuchen.
Bei den Parkinson-Patienten zeigten sich signifikante Anomalien in den Gehirnstrukturen des visuellen Systems. Dazu gehörten Veränderungen der Sehstrahlung, eine Verringerung der Konzentration der weißen Substanz und eine Reduktion des optischen Chiasma. Im letztgenannten Bereich kreuzen sich die rechten und linken Sehnerven.
Die Untersuchung dieser visuellen Symptome könnte laut Arrigo sensitive Marker für eine Erkrankung mit Parkinson liefern. Weitere Studien seien erforderlich, um das Timing des Abbaus der Degeneration in diesem Bereich besser zu verstehen. Bei der aktuellen Studie handle es sich erst um den Anfang. Die Ergebnisse wurden in "Radiology" veröffentlicht.
(Ende)| Aussender: | pressetext.redaktion |
| Ansprechpartner: | Moritz Bergmann |
| Tel.: | +43-1-81140-300 |
| E-Mail: | bergmann@pressetext.com |
| Website: | www.pressetext.com |


