Knorpellager für Maschinen ersetzt Schmieröl
Senkung der Wartungskosten und breiter Einsatz - Auch Sicherung von Gebäuden möglich
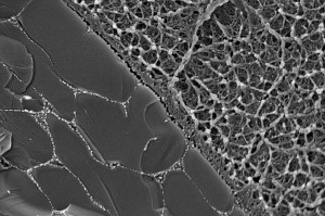
![]() |
Schnittstelle zwischen Hydrogel (links) und PDMS (Foto: leeds.ac.uk) |
Leeds/London (pte023/23.04.2021/12:30)
Knorpelzellen und eine Synovia genannte Flüssigkeit sorgen im Wechselspiel dafür, dass die Knochen in den Gelenken von Mensch und Tier sanft aneinander vorbeigleiten und kaum verschleißen. Außerdem nimmt der Knorpel Kräfte auf, die etwa beim Laufen die Knie belasten. Genau diese Gleit-, Schmier- und Puffertechnik wollen Forscher der University of Leeds http://www.leeds.ac.uk/ und des Imperial College London https://www.imperial.ac.uk/ nutzen, um bessere Lager für Maschinen aller Art herzustellen, vor allem im medizinischen Bereich. Knorpellager können die Wartungskosten senken, weil sie auch Vibrationen abfangen. Zudem dämpfen sie Geräusche. Das Material kann auch verwendet werden, um Gebäude und Brücken gegen Erdbeben abzusichern.
[b]Der Natur abgeschaut[/b]
Siavash Soltanahmadi, wissenschaftlicher Mitarbeiter an der School of Mechanical Engineering in Leeds, der die Forschung leitete, sagt: „Wissenschaftler und Ingenieure haben jahrelang versucht, ein Material für technische Anwendungen zu entwickeln, das die erstaunlichen Eigenschaften von Knorpel aufweist. Das ist uns jetzt gelungen." Es ahme einige der wichtigsten Eigenschaften des Knorpels nach. „Das war nur möglich, weil wir einen Weg gefunden haben, die Art und Weise nachzuahmen, wie die Natur dies tut."
[b]Hydrogel allein bringt es nicht[/b]
Hydrogele, also weiche Kunststoffe, die sehr viel Wasser enthalten, erfüllen schon einige Anforderungen, die an technischen Knorpel gestellt werden. Doch unter Belastung knickt das Material ein. Es nimmt seine alte Form nach dem Ende einer Belastungsphase nicht mehr ein. Die britischen Forscher lösten das Problem, indem sie Hydrogelteilchen in eine Matrix aus Polydimethylsiloxan (PDMS), ein Polymer auf Siliziumbasis einbetten. Dieses sorgt dafür, dass sich der synthetische Knorpel nach einer Belastung wieder erholt.
[b]Belastbarkeit drastisch verbessert[/b]
Die Kombination aus PDMS und Hydrogel verbessert die Belastbarkeit um das 14- bis 19-Fache, stellten die Forscher bei Tests fest. Auch mit der Elastizität des Materials waren die Forscher zufrieden. Michael Bryant, außerordentlicher Professor an der Fakultät für Maschinenbau, glaubt, dass es viele Möglichkeiten gibt, Wasser als wirksames Schmiermittel zu verwenden. Es könne zu einer starken Konkurrenz für Schmiermittel auf Ölbasis werden.
(Ende)| Aussender: | pressetext.redaktion |
| Ansprechpartner: | Wolfgang Kempkens |
| Tel.: | +43-1-81140-300 |
| E-Mail: | kempkens@pressetext.com |
| Website: | www.pressetext.com |


