Google zeigt AR-Mikroskop für Krebserkennung
Neue Algorithmen heben verdächtige Zellen direkt im Bild hervor
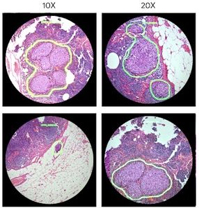
![]() |
Verdächtig: KI markiert potenzielle Tumore (Foto: research.googleblog.com) |
Mountain View (pte016/17.04.2018/10:30) Google-Forscher haben einen Ansatz vorgestellt, bei dem Augmented Reality die Krebserkennung erleichtert. Ihre "Augmented Reality Microscope" (ARM) genannte Plattform nutzt dazu Künstliche Intelligenz (KI) für eine Echtzeit-Bildanalyse. So können Algorithmen beispielsweise vermutete Tumore in einer Probe durch farbige Konturen im Bild hervorheben. Den Forschern zufolge lassen sich existierende Mikroskope in Spitälern und Kliniken kostengünstig zu ARM-Geräten aufrüsten.
Tiefenlernen für Pathologen
Die anlässlich der Jahrestagung der American Association for Cancer Research http://aacr.org vorgestellte ARM-Plattform setzt auf Tiefenlernen, um Algorithmen zu trainieren, die dann je nach Bedarf auf verschiedene Probleme wie Objekterkennung, Quantifizierung oder Klassifizierung von Krebs spezialisiert sind. Als konkrete Beispiele dienen den Forschern zunächst zwei Algorithmen, die Brustkrebs-Metastasen in Lymphknoten beziehungsweise Prostatakrebs in Prostatektomie-Proben erkennen. Beide funktionieren demnach bei vier- bis 40-facher Vergrößerung.
Der aktuelle Prototyp kann so etwa zehn Bilder pro Sekunde bearbeiten, berichten die Forscher im Google Research Blog http://research.googleblog.com . Das sei ausreichend, um einem Pathologen optisches Feedback einzublenden, wenn dieser eine Probe unter dem Mikroskop bewegt oder die Vergrößerung verändert. Die Beispiel-Algorithmen umranden dabei Bereiche, in denen sie Tumore ausmachen, einfach grün, um die Aufmerksamkeit des Pathologen dorthin zu lenken. ARM könne aber auch anderes optisches Feedback bieten, wie beispielsweise Text, Pfeile oder Animationen.
Großes Anwendungspotenzial
Die Forscher haben als Prototyp ein modifiziertes Labormikroskop genutzt. Wie das Team betont, erfordert ARM keine völlig neue Ausrüstung. Vielmehr könnten existierende optische Mikroskope in medizinischen Einrichtungen mit günstigen, leicht verfügbaren Komponenten nachgerüstet werden. Es sei auch nicht nötig, Proben komplett zu digitalisieren.
Wenngleich zunächst die Krebsdiagnose als Anwendungsbeispiel für die neue Plattform dient, soll das längst nicht der einzige Nutzen bleiben. "Wir glauben, dass ARM das Potenzial für große Auswirkungen auf die globale Gesundheit hat, insbesondere für die Diagnose von Infektionskrankheiten, darunter Tuberkulose und Malaria in Entwicklungsländern", schreiben die Forscher.
Zum Paper "An Augmented Reality Microscope for Real-time Automated Detection of Cancer": https://drive.google.com/open?id=1WRBCqJItaGly-9PDSMlwQ5Ldhc8lB0lf
(Ende)
| Aussender: | pressetext.redaktion |
| Ansprechpartner: | Thomas Pichler |
| Tel.: | +43-1-81140-314 |
| E-Mail: | pichler@pressetext.com |
| Website: | www.pressetext.com |


