Parkinson: Forscher klären visuelle Halluzinationen
Einzelne Bereiche des Gehirns kommunizieren schlechter miteinander
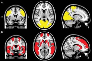
![]() |
Gehirn-Scans: Parkinson verändert die Kommunikation im Kopf (Foto: rsna.org) |
Amsterdam (pte024/27.09.2017/11:20) Trennungen von Gehirnbereichen, die bei Aufmerksamkeit und visueller Verarbeitung wichtig sind, spielen bei visuellen Halluzinationen von Parkinson-Patienten eine Rolle. Zu diesem Ergebnis kommen Forscher des VU University Medical Center http://vumc.com . Die bei der funktionellen Magnetresonanztomografie sichtbaren Unterbrechnungen könnten helfen, das Entstehen derartiger Halluzinationen vorherzusagen.
Abbau kognitiver Fähigkeiten
Laut Forschungsleiterin Dagmar H. Hepp treten visuelle Halluzinationen bei Parkinson häufig auf. Die Experten wollten die zugrunde liegenden Mechanismen erforschen, da über diese nur wenig bekannt ist. Die meisten Studien sind auf bestimmte Aufgaben wie visuelle Stimulation oder kognitive Aufgaben beschränkt. Laut den Studienautoren steht das Vorhandensein von visuellen Halluzinationen in enger Verbindung mit dem Abbau kognitiver Fähigkeiten. Kognitive Defizite können auch die Fähigkeit von Patienten beeinflussen, bestimmte Aufgaben während einer Untersuchung mittels funktioneller Magnetresonanztomografie zu lösen.
Für die aktuelle Untersuchung wurde eine funktionelle Magnetresonanztomografie im Ruhezustand durchgeführt, um die Konnektivität oder Kommunikation zwischen Gehirnbereichen zu untersuchen. Dieses Verfahren kann dazu eingesetzt werden, Patienten zu untersuchen, die keine explizite Aufgabe zu lösen haben. Die Konnektivität wurde bei 15 Patienten mit visuellen Halluzinationen und 40 Patienten ohne Halluzinationen sowie bei 15 Teilnehmern einer gesunden Kontrollgruppe gemessen. Untersucht wurde das Ausmaß der Synchronisierung der Aktivierungsmuster verschiedener Gehirnbereiche.
Mangelnde Gehirn-Interaktion
Den Forschern nach kommunizierten bei Parkinson-Patienten im Vergleich zur Kontrollgruppe mehrere Gehirnbereiche weniger mit dem Rest des Gehirns. Bei Patienten mit visuellen Halluzinationen wiesen mehrere zusätzliche Gehirnbereiche diese verringerte Konnektivität auf. Betroffen waren vor allem jene, die wichtig für das Aufrechterhalten der Aufmerksamkeit und die Verarbeitung von visuellen Informationen sind. Sie waren laut Studienautor Menno M. Schoonheim weniger mit dem restlichen Gehirn verbunden. Damit liege nahe, dass die Unterbrechung dieser Verbindungen beim Entstehen von visuellen Halluzinationen eine Rolle spielen. Die Forschungsergebnisse wurden im Fachmagazin "Radiology" veröffentlicht.
(Ende)| Aussender: | pressetext.redaktion |
| Ansprechpartner: | Moritz Bergmann |
| Tel.: | +43-1-81140-300 |
| E-Mail: | bergmann@pressetext.com |
| Website: | www.pressetext.com |


