Laktat lässt Haare auf Glatzen wieder sprießen
US-Wissenschaftler finden zwei erfolgsversprechende Präparate
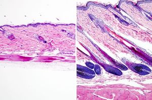
![]() |
Gestoppter (links) und aktivierter Haarwuchs (Foto: UCLA Broad Stem Cell Center) |
Los Angeles/Salt Lake City (pte002/21.08.2017/06:05) Forscher der University of California http://universityofcalifornia.edu sagen Glatzen mit Laktat den Kampf an, indem sie die Stammzellen in den Haarwurzeln aktivieren. Nachdem bereits zwei Institute Ansätze gefunden haben, wie man diese unschöne Begleiterscheinung des Älterwerdens verhindern kann, treten jetzt Heather Christofk and William Lowry auf den Plan.
Stammzellen warten auf Zyklus
Die Stammzellen der Haarwurzeln sind ein Menschenleben lang damit beschäftigt, das Haar wachsen zu lassen. Sie befinden sich die meisten Zeit im Ruhezustand. Erst wenn ein neuer Zyklus des Haarwachstums beginnt, werden sie aktiv. Dabei spielen viele Faktoren eine Rolle. Wenn sie nicht perfekt harmonieren, verharren die Stammzellen im Dornröschenschlaf. Das Wachstum von neuen Haaren wird gestoppt.
Eine wichtige Rolle bei der Aktivierung der Stammzellen spielt Laktat. Das fand das Team bei Tests mit Mäusen heraus. Die Forscher blockierten die Produktion durch einen genetischen Eingriff. Damit verhinderten sie, wie sich am Fell der Tiere nach einiger Zeit ablesen ließ, das Wachstum von neuen Haaren. Dann nahmen sie gemeinsam mit dem Rutter Lab der University of Utah http://utah.edu in Salt Lake City einen neuen genetischen Eingriff vor, der die Laktat-Produktion anregte. Prompt wuchsen die Haare wieder.
Test am Menschen steht noch aus
"Vor unseren Versuchen wusste niemand, dass eine Erhöhung und Senkung des Laktatwertes einen Einfluss auf das Haarwachstum hat", sagt Lowy. "Als wir diesen Zusammenhang entdeckt hatten, begannen wir nach wirkungsvollen Präparaten für das Wachstum von Haaren zu suchen, die auf die Haut aufgetragen werden."
Lowy und sein Kollege fanden zwei Mittel, sie nannten sie RCGD423 und UK5099. Das erste sorgt dafür, dass Informationen vom äußeren der Zelle zum Zellkern transportiert werden. Das zweite regt die Produktion von Laktat in den Haarwurzeln an. Die vielversprechenden Präparate befinden sich noch in vorklinischen Tests. An Menschen wurden sie noch nicht ausprobiert. Es wird noch einige Zeit vergehen, ehe die US-Zulassungsbehörde ihr Okay zur Anwendung gibt.
(Ende)| Aussender: | pressetext.redaktion |
| Ansprechpartner: | Wolfgang Kempkens |
| Tel.: | +43-1-81140-300 |
| E-Mail: | kempkens@pressetext.com |
| Website: | www.pressetext.com |


