MS: Myelin kann Nervenfasern sogar bedrohen
Wissenschaftler der Universität Leipzig weisen mögliches Gefahrenpotenzial für Axone nach
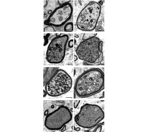
![]() |
Aufnahmen einzelner Nervenfasern in MS-Hirnbiopsien im Querschnitt (Fotos: uni-leipzig.de) |
Leipzig/Göttingen (pte024/30.06.2023/12:40)
Das bisher eigentlich als Schutzschicht der Nervenfasern (Axone) angesehene Myelin kann deren Überleben sogar gefährden. Das haben Forscher der Universität Leipzig im Zuge der Untersuchung von Multiple-Sklerose-Patienten (MS) herausgefunden. Details sind in "Nature Neuroscience" nachzulesen.
Myelin oft nicht intakt
Ein Risiko für die Axone besteht zum Beispiel dann, wenn Myelinscheiden durch Immunzellen angegriffen wurden, aber weiterhin die Axone umhüllen und damit von der Außenwelt isolieren. Oligodendrozyten sind nämlich nicht nur für die Bildung des Myelins zuständig. Sie leisten auch wichtige Unterstützungsfunktionen für den Energiestoffwechsel der Axone.
Insbesondere myelinisierte Axone sind stark von metabolischer Unterstützung abhängig, da sie kaum eigenen Zugang zu Nährstoffen haben. Für die Unterstützung myelinisierter Axone durch eine Myelinscheide hindurch ist es erforderlich, dass die Architektur des Myelins intakt ist, einschließlich der engen Kommunikationskanäle zwischen Oligodendrozyten und Axonen.
Versagen bei Entzündung
"Wenn Oligodendrozyten einer akuten entzündlichen Umgebung ausgesetzt sind, könnten sie ihre unterstützende Funktion für die Nervenfasern verlieren und das Myelin wird zu einer Bedrohung für das Überleben der Nervenfasern", so der auch an der Studie beteiligte Forscher Klaus-Armin Nave vom Max-Planck-Institut für multidisziplinäre Naturwissenschaften.
(Ende)| Aussender: | pressetext.redaktion |
| Ansprechpartner: | Florian Fügemann |
| Tel.: | +43-1-81140-313 |
| E-Mail: | fuegemann@pressetext.com |
| Website: | www.pressetext.com |


